Adenoid Cystic Carcinoma: Tubular Pattern Explained

M.Beartooth 124 views
Adenoid Cystic Carcinoma: Tubular Pattern Explained

Adenoid Cystic Carcinoma: Understanding the Tubular Pattern

Hey everyone, today we’re diving deep into a specific type of cancer that you might not hear about every day, but it’s super important to understand: Adenoid Cystic Carcinoma (ACC) . Specifically, we’re going to break down the tubular pattern of adenoid cystic carcinoma . Now, I know medical jargon can sound a bit intimidating, but trust me, we’ll make this super clear and easy to grasp. Think of this as your friendly guide to understanding what this particular cancer pattern looks like under the microscope and why it matters. We’ll cover what ACC is in general, then zero in on the tubular subtype, discussing its characteristics, where it’s commonly found, and some key things doctors look for when diagnosing it. So, grab a cup of coffee, get comfy, and let’s unravel this together! Understanding these details can be a game-changer for patients and healthcare professionals alike, so let’s get started on this informative journey.

What is Adenoid Cystic Carcinoma (ACC)?

Alright guys, before we get lost in the weeds of the tubular pattern, let’s set the stage. Adenoid Cystic Carcinoma (ACC) is a rare but distinct type of cancer that can arise in various glands, most commonly in the salivary glands in your head and neck. However, it can also pop up in other places like the breast , lung , skin , and even the prostate . What makes ACC stand out is its characteristic appearance under the microscope and its tendency to grow slowly but persistently, often invading nerves (a phenomenon called perineural invasion). This nerve invasion is a big deal because it can lead to pain and can make the cancer harder to fully remove during surgery. ACC is classified as a carcinoma , meaning it originates from epithelial cells, which are the cells that line surfaces and cavities in your body. Despite being a carcinoma, its unique microscopic features and growth patterns sometimes lead it to be grouped with sarcomas, which arise from connective tissues, but it’s fundamentally an epithelial malignancy. Its rarity means that diagnosis and treatment often require specialized expertise. The World Health Organization (WHO) classifies ACC as a malignant epithelial tumor. Its histological appearance is typically characterized by small, dark cells arranged in a specific pattern, often described as cribriform, tubular, or solid. The presence of these different patterns can sometimes influence prognosis, though ACC is generally considered to have a better long-term prognosis compared to some other high-grade salivary gland cancers. Understanding these basic building blocks of ACC is crucial before we dissect the tubular pattern. It’s a cancer that demands attention due to its unique biological behavior and clinical course, making accurate diagnosis paramount.

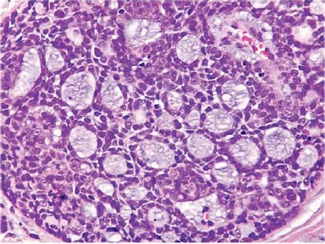
The Microscopic World: Unpacking the Tubular Pattern

Now, let’s get to the heart of the matter: the tubular pattern of adenoid cystic carcinoma . When pathologists look at a biopsy sample under a microscope, they’re essentially trying to identify distinct structures and cell arrangements that help them diagnose the specific type of cancer. The tubular pattern in ACC is characterized by the formation of small, tube-like structures, or ducts , made up of cancer cells. Imagine tiny, imperfect cylinders or tubules. These tubules are typically lined by two distinct layers of cells: an inner layer of luminal cells (the cells forming the lining of the tube) and an outer layer of myoepithelial cells . Myoepithelial cells are special cells that normally surround the ducts of glands and help with secretion. In the tubular pattern, these cells are often seen proliferating and forming these characteristic small, round or oval tubules. These structures are usually quite uniform in size and shape, and they are often separated by a stromal background, which is the supporting connective tissue. The key here is the presence of these well-defined, small, duct-like formations . It’s a bit like looking at a microscopic blueprint of a glandular structure that’s gone awry. The cells themselves are usually described as having hyperchromatic (darkly stained) nuclei and scant cytoplasm. The formation of these tubules is a defining feature, distinguishing it from other patterns like the cribriform pattern (which looks like sieves or Swiss cheese) or the solid pattern (which is just sheets of cells). The amount of each pattern can vary within a single tumor, and often a tumor will exhibit a mixture of patterns. However, the presence of a significant tubular component is what defines this specific subtype. This organized, yet malignant, arrangement is what pathologists meticulously identify to arrive at an accurate diagnosis, which is the first crucial step in planning effective treatment. This precise identification helps guide the clinical team in understanding the potential behavior of the tumor and in making informed decisions regarding therapy. The elegance of this microscopic view lies in its ability to reveal the intricate nature of the disease at its most fundamental level, allowing for targeted interventions.

Where Does the Tubular Pattern Typically Show Up?

So, guys, you might be wondering, where does this tubular pattern of adenoid cystic carcinoma usually like to hang out? As we touched on earlier, ACC, in general, has a strong preference for the salivary glands . This means you’ll most frequently find tumors exhibiting the tubular pattern within the parotid gland (the largest salivary gland, located in front of the ears), the submandibular gland (under the jaw), and the minor salivary glands that are scattered throughout the lining of the mouth and throat. Think of the roof of your mouth, your tongue, your inner cheeks – these are all common spots for minor salivary glands. While the salivary glands are the VIPs for ACC, remember that this cancer can appear elsewhere. Therefore, the tubular pattern can also be seen in other locations where ACC might arise, such as the breast , the trachea (windpipe), the lacrimal glands (tear glands), and the skin . However, it’s crucial to emphasize that the most classic and frequently encountered sites for the tubular pattern are indeed the salivary glands. When ACC appears in these other sites, the histological appearance, including the presence of a tubular pattern, can be similar, but the clinical context and management might differ significantly. For instance, ACC of the breast, while rare, will follow a different clinical course and require different diagnostic and therapeutic approaches compared to salivary gland ACC. The key takeaway is that while the microscopic pattern might be consistent, the location of the tumor dictates much of the patient’s journey. Understanding these common sites helps clinicians maintain a high index of suspicion when patients present with symptoms suggestive of a tumor in these areas, facilitating earlier diagnosis and intervention. This geographical predilection of the tumor type plays a vital role in the diagnostic pathway and subsequent patient care strategies, ensuring that the approach is tailored to the specific anatomical context of the malignancy.

Why is Identifying the Tubular Pattern Important?

Okay, so why do pathologists and doctors get so excited about spotting the tubular pattern of adenoid cystic carcinoma ? Well, it’s not just about having a fancy name for a microscopic arrangement; it has real-world implications for how a patient is treated and what they can expect. Firstly, accurate histological classification is the bedrock of cancer management. Identifying ACC and its specific pattern, like the tubular one, helps doctors understand the tumor’s potential behavior. While ACC is generally known for its slow growth and propensity for perineural invasion, the specific patterns can sometimes offer clues about its aggressiveness and spread. Some studies suggest that tumors with a predominantly tubular pattern might have a slightly better prognosis compared to those with a more solid pattern, which is often considered more aggressive. However, this is not a hard and fast rule, and often tumors are mixed. The most important factor in ACC prognosis is often the presence and extent of perineural invasion and the completeness of surgical resection (removal). Therefore, identifying the tubular pattern is part of a larger diagnostic puzzle. Secondly, knowing the specific type of cancer helps in planning the treatment strategy . Surgery is usually the primary treatment for ACC, and the goal is to remove the entire tumor with clear margins (no cancer cells left at the edges of the removed tissue). The specific histological features, including the pattern, can inform the surgeon about the likely extent of infiltration and the potential need for wider surgical margins or adjuvant therapies like radiation. For example, if perineural invasion is prominent, even within a tubular pattern, more aggressive surgical approaches might be necessary. Thirdly, understanding the pattern aids in prognostication . While ACC generally has a better long-term survival rate than many other head and neck cancers, it can recur, often many years after initial treatment. Detailed histological analysis, including pattern identification, helps in assessing the risk of recurrence and distant metastasis, allowing for closer follow-up and monitoring of patients. This meticulous examination is absolutely critical for providing the best possible care and outcomes for patients facing this diagnosis. It’s this level of detail that empowers the medical team to make the most informed decisions, offering hope and clarity in what can be a challenging situation. The precise identification ensures that treatment plans are not one-size-fits-all, but rather finely tuned to the unique characteristics of each individual’s cancer.

Key Features to Look For

So, what exactly are the tell-tale signs that a pathologist looks for when they suspect the tubular pattern of adenoid cystic carcinoma ? It’s like being a detective, searching for specific clues under the microscope. The primary characteristic, as we’ve discussed, is the presence of small, uniform, duct-like structures or tubules . These tubules are typically lined by two cell layers: an inner layer of epithelial cells and an outer layer of myoepithelial cells. The key here is that these structures are well-formed and distinct , setting them apart from haphazard cell arrangements. The tubules are often round or oval and vary in size but are generally small. The cells forming these tubules are usually described as having basaloid features , meaning they have dark, round to oval nuclei with scant cytoplasm. Another critical feature that often accompanies the tubular pattern, and is a hallmark of ACC in general, is perineural invasion . This is when the cancer cells are seen growing along or within the nerves. This is a very important prognostic indicator and is meticulously searched for by pathologists. You’ll see the tumor cells infiltrating the spaces around nerve fibers. The presence of a hyalinized or mucoid stroma is also common. This refers to the supportive connective tissue surrounding the tubules, which can appear glassy (hyalinized) or contain mucus-like material. This background helps to separate the neoplastic tubules. Unlike the cribriform pattern, where you see large, sievelike spaces formed by the tumor cells, the tubular pattern features individual, small lumens within the tubules. The solid pattern, conversely, lacks these distinct glandular or tubular formations and consists of sheets or nests of tumor cells. Often, ACC tumors are mixed , meaning they can show a combination of tubular, cribriform, and solid patterns. However, if a significant portion of the tumor displays these well-defined tubular structures, it will be classified as having a tubular pattern. The pathologist will assess the percentage of each pattern present, as this can sometimes influence prognosis. So, in essence, it’s the combination of small, organized, duct-like structures lined by specific cell types, often accompanied by perineural invasion and a characteristic stromal background, that paints the picture of the tubular pattern of ACC. This detailed microscopic evaluation is absolutely vital for accurate diagnosis and treatment planning.

Treatment and Prognosis Considerations

Let’s wrap this up by talking about treatment and prognosis for the tubular pattern of adenoid cystic carcinoma . The good news is that ACC, including the tubular subtype, generally has a more favorable long-term prognosis compared to many other high-grade cancers. However, it’s not without its challenges, mainly due to its tendency for slow, persistent growth and nerve invasion. Surgery is almost always the primary treatment . The goal is a complete surgical resection with wide, clear margins. This means removing the entire tumor along with a surrounding area of healthy tissue to ensure no cancer cells are left behind. Because ACC can invade nerves, surgeons often need to be very meticulous and may even need to resect nerves that are involved. Radiation therapy is frequently used as an adjuvant treatment , especially if there’s evidence of positive margins (cancer cells at the edge of the removed tissue), perineural invasion, or involvement of lymph nodes. Radiation helps to kill any remaining microscopic cancer cells and reduce the risk of recurrence. Chemotherapy is generally less effective for ACC compared to surgery and radiation, and it’s typically reserved for cases where the cancer has spread to distant parts of the body (metastasis) or for recurrent tumors that cannot be treated with surgery or radiation. The prognosis for ACC is generally considered good for a malignant tumor, with many patients living for 10, 20, or even more years after diagnosis. However, it’s important to know that ACC can recur, sometimes many years after the initial treatment, so long-term follow-up is essential. The presence of perineural invasion is a significant factor associated with a higher risk of recurrence and poorer prognosis. While the tubular pattern itself might sometimes be associated with a slightly better outlook than purely solid patterns, the extent of nerve involvement and the completeness of surgical resection are usually more critical prognostic indicators. Doctors will consider all these factors—the tumor’s size, location, pattern, presence of nerve invasion, and whether it has spread—to create the best possible treatment plan and provide an accurate prognosis. So, while the tubular pattern is an important diagnostic detail, it’s one piece of a larger clinical picture that guides the journey towards recovery and long-term health. Stay informed, stay hopeful, and always work closely with your healthcare team!