Understanding Oncocytic Papillary Thyroid Cancer

M.Beartooth 126 views
Understanding Oncocytic Papillary Thyroid Cancer

Understanding Oncocytic Papillary Thyroid Cancer

Hey everyone! Today, we’re diving deep into a specific type of thyroid cancer called oncocytic variant papillary thyroid carcinoma . Now, I know that sounds like a mouthful, but stick with me, guys, because understanding this condition is super important if you or someone you know is dealing with thyroid health. We’re going to break it all down, making it as easy to understand as possible. We’ll cover what it is, how it’s diagnosed, the treatments available, and what the outlook is like. Remember, knowledge is power, especially when it comes to health, so let’s get started!

What Exactly is Oncocytic Variant Papillary Thyroid Carcinoma?

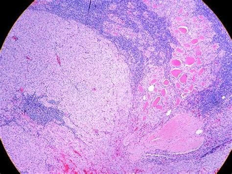
So, what is oncocytic variant papillary thyroid carcinoma , anyway? At its core, it’s a subtype of papillary thyroid cancer, which is the most common type of thyroid cancer. The ‘papillary’ part refers to the microscopic appearance of the cancer cells – they often form finger-like projections, kind of like papillae. The ‘oncocytic’ part is where things get a little more specific. It means the cancer cells have a distinctive feature under the microscope: they contain an abundance of oncocytes , which are cells packed with mitochondria . Mitochondria are the powerhouses of our cells, and in oncocytes, they’re supercharged, giving the cells a granular, eosinophilic (pinkish) appearance. This specific cellular makeup is what distinguishes this variant from other forms of papillary thyroid cancer. While it shares many characteristics with classic papillary thyroid cancer, including the potential for spread to lymph nodes, the oncocytic change can sometimes influence how the cancer behaves and how it responds to treatment. It’s crucial to remember that even though it’s a ‘variant,’ it’s still a form of cancer, and like all cancers, it requires careful management. The presence of oncocytes doesn’t automatically mean a worse prognosis, but it’s a key characteristic that pathologists look for to classify the tumor accurately. This accurate classification is vital because it helps doctors tailor the treatment plan to the individual patient. We’ll get more into the nitty-gritty of diagnosis and treatment later, but for now, just know that this variant is defined by the specific look of its cells under a microscope, due to an overabundance of mitochondria.

The Role of Mitochondria and Oncocytes

Let’s geek out for a sec about those mitochondria and oncocytes we just mentioned. In the world of oncocytic variant papillary thyroid carcinoma , these guys are the stars of the show, microscopically speaking. Mitochondria, as I said, are the energy factories of our cells. They take nutrients and oxygen and convert them into energy that our cells need to function. In oncocytes, these mitochondria are present in massive numbers, making the cell’s cytoplasm (the stuff inside the cell membrane but outside the nucleus) look granular and intensely pink when stained for examination. This accumulation of mitochondria is often associated with specific genetic changes and can influence the cell’s metabolism and behavior. It’s fascinating stuff, right? Think of it like a car engine that’s been super-tuned with way more cylinders and fuel injectors than usual – it’s running at a different capacity. This cellular characteristic is so pronounced that it’s the defining feature pathologists use to label this variant. While classic papillary thyroid carcinoma cells might have some mitochondria, oncocytes take it to a whole new level. This difference isn’t just a cosmetic detail for the microscope; it can have implications for how the cancer cells function and potentially how they respond to therapies. For example, some studies suggest that the metabolic state of these mitochondria-rich cells might influence their sensitivity to certain treatments. Understanding this cellular quirk is a big part of why accurate diagnosis is so important. It helps doctors make more informed decisions about the best course of action for each patient. So, while the term ‘oncocyte’ might sound technical, it’s simply a descriptor for a cell that’s brimming with these energy-producing organelles, giving it a unique appearance and potentially unique behaviors within the context of thyroid cancer. It’s a really cool example of how cellular biology plays a role in disease.

How is it Diagnosed?

Diagnosing oncocytic variant papillary thyroid carcinoma involves a few key steps, and it’s usually a collaborative effort between doctors and pathologists. It typically starts with a patient noticing a lump or swelling in their neck, or it might be found incidentally during imaging tests for other reasons. The first step is usually an ultrasound of the neck, which is a non-invasive imaging technique that can help visualize nodules on the thyroid gland. If a suspicious nodule is found, the next step is often a fine-needle aspiration (FNA) biopsy . This is a procedure where a thin needle is used to withdraw a small sample of cells from the nodule. These cells are then sent to a cytopathologist – a pathologist who specializes in examining cells. The cytopathologist will look at the cells under a microscope, searching for specific features that indicate cancer. For classic papillary thyroid cancer, they look for characteristic nuclear features. When they see those abundant, granular, pinkish cytoplasm cells packed with mitochondria, they’ll suspect the oncocytic variant. However, sometimes the FNA sample might not be enough to make a definitive diagnosis, or it might show features that are concerning but not entirely clear. In such cases, an excision biopsy might be recommended, where a surgeon removes part or all of the nodule for a more thorough examination by a surgical pathologist . This allows for a more detailed analysis of the tissue architecture and cellular details. Sometimes, imaging tests like a CT scan or MRI might be used to assess the extent of the tumor and whether it has spread to nearby lymph nodes or other structures. The final diagnosis, specifying it as the oncocytic variant, is made by the pathologist based on the microscopic examination of the tissue. This detailed examination is absolutely critical because it guides the entire treatment strategy. Without an accurate diagnosis, treatment could be less effective, so these steps are really taken very seriously.

The Role of Imaging in Diagnosis

Imaging plays a huge role in figuring out what’s going on with potential thyroid nodules, guys. When we talk about oncocytic variant papillary thyroid carcinoma , imaging isn’t the one that gives the final