Understanding Pseudoischemic Brain Lesions

M.Beartooth 105 views
Understanding Pseudoischemic Brain Lesions

Understanding Pseudoischemic Brain Lesions

Let’s dive into understanding pseudoischemic brain lesions. Pseudoischemic brain lesions are fascinating yet complex phenomena in the realm of neurology. Often mimicking the signs and symptoms of an actual stroke or ischemic event, these lesions present a diagnostic challenge. They appear on imaging studies like CT scans or MRIs as if there’s been a lack of blood flow to the brain, but in reality, the underlying cause is something else entirely . This “something else” can range from migraines to seizures, and even certain metabolic disorders. Recognizing and differentiating pseudoischemic lesions from true ischemic events is crucial for proper patient management and treatment. Understanding the nuances of these lesions requires a comprehensive grasp of neuroimaging, clinical presentations, and potential underlying etiologies.

When we talk about pseudoischemic lesions , we’re not just dealing with a single entity. The appearance of these lesions can vary significantly based on the cause and the area of the brain affected. For instance, a lesion caused by a migraine might look different from one caused by a seizure. Moreover, the location of the lesion plays a critical role in determining its potential impact . Lesions in eloquent areas of the brain, such as those controlling speech or motor function, can lead to noticeable deficits, while lesions in less critical areas might be asymptomatic. Therefore, a detailed analysis of the lesion’s characteristics, combined with a thorough clinical evaluation, is essential for accurate diagnosis and management. It’s like being a detective, piecing together clues to solve a medical mystery! The clinical presentation of a patient with a pseudoischemic lesion can be quite varied. Some individuals may experience stroke-like symptoms such as sudden weakness, numbness, speech difficulties, or visual disturbances. Others may present with symptoms more commonly associated with migraines or seizures, such as headaches, auras, or convulsions. What makes it even more challenging is that these symptoms can sometimes overlap, making it difficult to distinguish between a true ischemic event and a pseudoischemic lesion . Therefore, a detailed medical history, neurological examination, and careful consideration of the patient’s risk factors are crucial in narrowing down the possibilities. Think of it as creating a differential diagnosis, where you list all the potential causes and then systematically rule them out based on the available evidence.

Causes of Pseudoischemic Lesions

Exploring the causes of pseudoischemic lesions is paramount. Pseudoischemic lesions don’t arise from a single cause, making their diagnosis a bit of a puzzle. Migraines are a frequent culprit . During a migraine, changes in blood flow and electrical activity in the brain can sometimes produce lesions that mimic ischemia on imaging. These are often referred to as migraine-associated lesions and are typically reversible. Seizures, similarly, can lead to pseudoischemic changes. The intense neuronal activity during a seizure can alter brain metabolism and blood flow, resulting in lesions that resemble ischemic damage. These seizure-related lesions are usually transient and resolve after the seizure activity subsides. Metabolic disorders, such as hypoglycemia (low blood sugar) or hyperglycemia (high blood sugar), can also cause pseudoischemic lesions. Extreme fluctuations in blood sugar levels can disrupt brain function and lead to temporary or permanent changes that appear as ischemia on imaging . In rare cases, certain infections or inflammatory conditions can also be associated with pseudoischemic lesions. These conditions can affect the brain’s blood vessels or parenchyma, leading to changes that mimic ischemia.

Furthermore, understanding these diverse causes is essential for accurate diagnosis and management. For instance, if a patient presents with stroke-like symptoms and an MRI reveals a pseudoischemic lesion , the physician must consider the possibility of a migraine or seizure as the underlying cause. This requires a thorough evaluation, including a detailed medical history, neurological examination, and potentially additional tests such as an electroencephalogram (EEG) to assess for seizure activity . If a metabolic disorder is suspected, blood tests to check glucose levels and other metabolic parameters may be necessary. It’s like being a detective, carefully gathering evidence to solve a complex case. The information you gather will help you determine the most appropriate course of action for the patient. In addition to the more common causes, certain rare conditions can also manifest as pseudoischemic lesions . These include conditions such as reversible cerebral vasoconstriction syndrome (RCVS), which involves temporary narrowing of the brain’s blood vessels, and posterior reversible encephalopathy syndrome (PRES), which is characterized by widespread swelling in the brain . These conditions can be challenging to diagnose, as they often present with a combination of neurological symptoms and imaging findings that can mimic stroke or other neurological disorders. However, prompt recognition and treatment of these conditions are essential to prevent long-term complications. It’s important to stay up-to-date with the latest research and clinical guidelines to ensure that you’re providing the best possible care for your patients.

Diagnostic Approaches

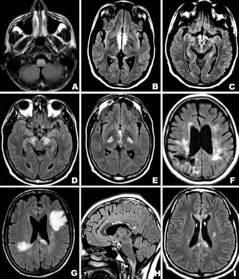
When considering diagnostic approaches, neuroimaging plays a pivotal role. Neuroimaging techniques are essential in diagnosing pseudoischemic lesions . Magnetic resonance imaging (MRI) is generally the preferred imaging modality due to its superior sensitivity and ability to detect subtle changes in brain tissue . MRI can provide detailed information about the location, size, and characteristics of the lesion, as well as identify any underlying abnormalities such as edema or inflammation. Diffusion-weighted imaging (DWI) is a specific MRI technique that is particularly useful in distinguishing between true ischemic lesions and pseudoischemic lesions . DWI measures the movement of water molecules in the brain tissue. In true ischemia, DWI typically shows a characteristic pattern of restricted diffusion, indicating a lack of blood flow. In contrast, pseudoischemic lesions may not show this pattern, or the pattern may be different, helping to differentiate them from true ischemia.

Computerized tomography (CT) scans can also be used in the evaluation of pseudoischemic lesions , although they are generally less sensitive than MRI. CT scans are particularly useful in the acute setting to rule out other potential causes of stroke-like symptoms, such as hemorrhage or mass lesions . However, CT scans may not be able to detect subtle changes associated with pseudoischemic lesions, particularly in the early stages. In addition to neuroimaging, other diagnostic tests may be necessary to determine the underlying cause of a pseudoischemic lesion . An electroencephalogram (EEG) can be used to assess for seizure activity, particularly in patients with a history of seizures or who present with symptoms suggestive of seizures. Blood tests may be performed to check for metabolic abnormalities, such as hypoglycemia or hyperglycemia, or to evaluate for inflammatory or infectious conditions. In some cases, a lumbar puncture may be necessary to analyze the cerebrospinal fluid (CSF) for signs of infection or inflammation . The diagnostic approach to pseudoischemic lesions should be individualized based on the patient’s clinical presentation, medical history, and risk factors. A thorough evaluation, including a detailed neurological examination, neuroimaging studies, and potentially other diagnostic tests, is essential to determine the underlying cause of the lesion and guide appropriate management. It’s like putting together a puzzle, where each piece of information helps to complete the picture.

Treatment and Management

Now, let’s talk about the treatment and management strategies. The treatment and management of pseudoischemic lesions depend entirely on the underlying cause. Because these lesions mimic strokes but aren’t caused by blocked blood vessels, treatments aimed at dissolving clots (like thrombolytics) are not only ineffective but potentially harmful . If the lesion is caused by migraines, for example, the treatment will focus on managing the migraines. This might involve medications to prevent migraines, such as beta-blockers or topiramate, as well as medications to relieve migraine symptoms when they occur, such as triptans or NSAIDs. Lifestyle modifications, such as avoiding triggers, managing stress, and maintaining a regular sleep schedule, can also play a significant role in migraine management. If seizures are the cause, the treatment will focus on controlling the seizures. This typically involves antiepileptic medications, which work to reduce the frequency and severity of seizures. The choice of antiepileptic medication will depend on the type of seizure, the patient’s medical history, and other factors . In addition to medication, lifestyle modifications such as getting enough sleep, avoiding alcohol, and managing stress can also help to control seizures. If a metabolic disorder is identified as the cause of the pseudoischemic lesion , the treatment will focus on correcting the metabolic imbalance. For example, if the lesion is caused by hypoglycemia, the treatment will involve raising the patient’s blood sugar levels. This may involve giving the patient glucose orally or intravenously. If the lesion is caused by hyperglycemia, the treatment will involve lowering the patient’s blood sugar levels. This may involve giving the patient insulin or other medications to lower blood sugar.

In addition to addressing the underlying cause, supportive care may also be necessary to manage the symptoms associated with pseudoischemic lesions . For example, if the patient is experiencing pain, analgesics may be prescribed. If the patient is experiencing weakness or numbness, physical therapy or occupational therapy may be recommended . It’s important to remember that the treatment and management of pseudoischemic lesions is an ongoing process. Patients will need to be monitored regularly to assess their response to treatment and to make any necessary adjustments. It’s also important to educate patients about their condition and to empower them to take an active role in their own care. This includes providing them with information about their medications, potential side effects, and lifestyle modifications that can help to manage their symptoms. The goal of treatment is to improve the patient’s quality of life and to prevent any long-term complications associated with the pseudoischemic lesion . The management of pseudoischemic lesions requires a multidisciplinary approach, involving neurologists, radiologists, and other healthcare professionals. Collaboration and communication are essential to ensure that patients receive the best possible care . It’s like a team effort, where each member brings their expertise to the table to help solve the puzzle and improve the patient’s well-being.

In conclusion, pseudoischemic brain lesions present a unique diagnostic and therapeutic challenge. Recognizing the diverse etiologies and utilizing advanced neuroimaging techniques are crucial for accurate diagnosis. Treatment strategies must be tailored to the underlying cause, emphasizing the importance of a comprehensive and individualized approach to patient care. Further research is needed to better understand the pathophysiology of these lesions and develop more effective treatment strategies.